Each patient is unique, and can experience joint pain for different reasons. It’s important to talk to us about the reason for your joint pain so you can understand the treatment options available to you. Pain from arthritis and joint degeneration can be constant or come and go, occur with movement or after a period of rest, or be located in one spot or many parts of the body. It is common for patients to try medication and other conservative treatments to treat their hip or knee pain. If you haven’t experienced adequate relief with those treatment options, you may be a candidate for Mako Total Hip, Total Knee or Partial Knee replacement, which may provide you with relief from your joint pain.
At Orthopaedic Associates of Muskegon, we understand that making sure you know what to expect from your joint replacement experience is important to you. As you are reading through this material, if you have additional questions please reach out to us to discuss.
Mako Robotic-Arm Assisted Technology provides you with a personalized surgical plan based on your unique anatomy. First, a CT scan of the diseased hip or knee joint is taken. This CT scan is uploaded into the Mako System software, where a 3D model of your hip or knee is created. This 3D model is used to pre-plan and assist your surgeon in performing your joint replacement procedure.
In the operating room, your surgeon follows your personalized surgical plan while preparing the bone for the implant. The surgeon guides the robotic-arm within the pre-defined area and the Mako System helps the surgeon stay within the planned boundaries that were defined when the personalized pre-operative plan was created. In a laboratory study, Mako Total Knee Technology demonstrated accurate placement of implants to a personalized surgical plan. This study also showed that Mako Total Knee replacement demonstrated soft tissue protection to the ligaments around the knee. In patient and laboratory studies on Mako Total Hip and Partial Knee replacement, Mako Technology demonstrated accurate placement of implants to a personalized surgical plan.
Mako Robotic-Arm Assisted Total Hip replacement is a surgical procedure intended for patients who suffer from non-inflammatory or inflammatory degenerative joint disease (DJD). Some forms of DJD include osteoarthritis (OA), post-traumatic arthritis, rheumatoid arthritis (RA), avascular necrosis (AVN) and hip dysplasia.


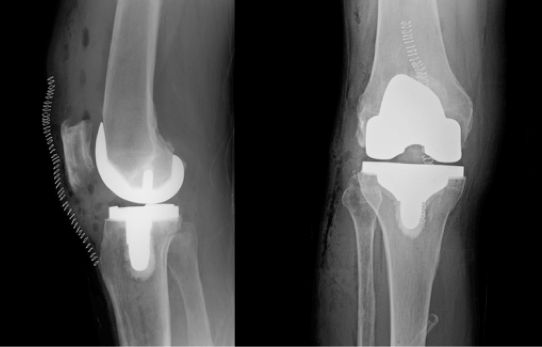
Based on the severity of the arthritis in the knee, total or partial knee replacement may be recommended by a surgeon. Both procedures involve the orthopaedic surgeon guiding the Mako Robotic-Arm to remove diseased bone and cartilage.

Mako Robotic-Arm Assisted Partial Knee replacement is a treatment option for adults living with early to mid-stage osteoarthritis (OA) that has not yet progressed to all three compartments of the knee.
In comparison, Mako Robotic-Arm Assisted Total Knee replacement is a treatment option for adults living with mid to late-stage osteoarthritis of the knee. With Mako Total Knee replacement, the entire knee joint is replaced and the surgeon inserts a Triathlon Total Knee implant. With over a decade of clinical history, Triathlon knee replacements are different than traditional knee replacements because they are designed to work with the body to promote natural-like circular motion.